Treatment of Partial Edentulous with Removable Partial Denture Metal Framework Combinated Thermoplastic - A Case Report
DOI:
https://doi.org/10.35790/eg.v10i1.37292Abstract
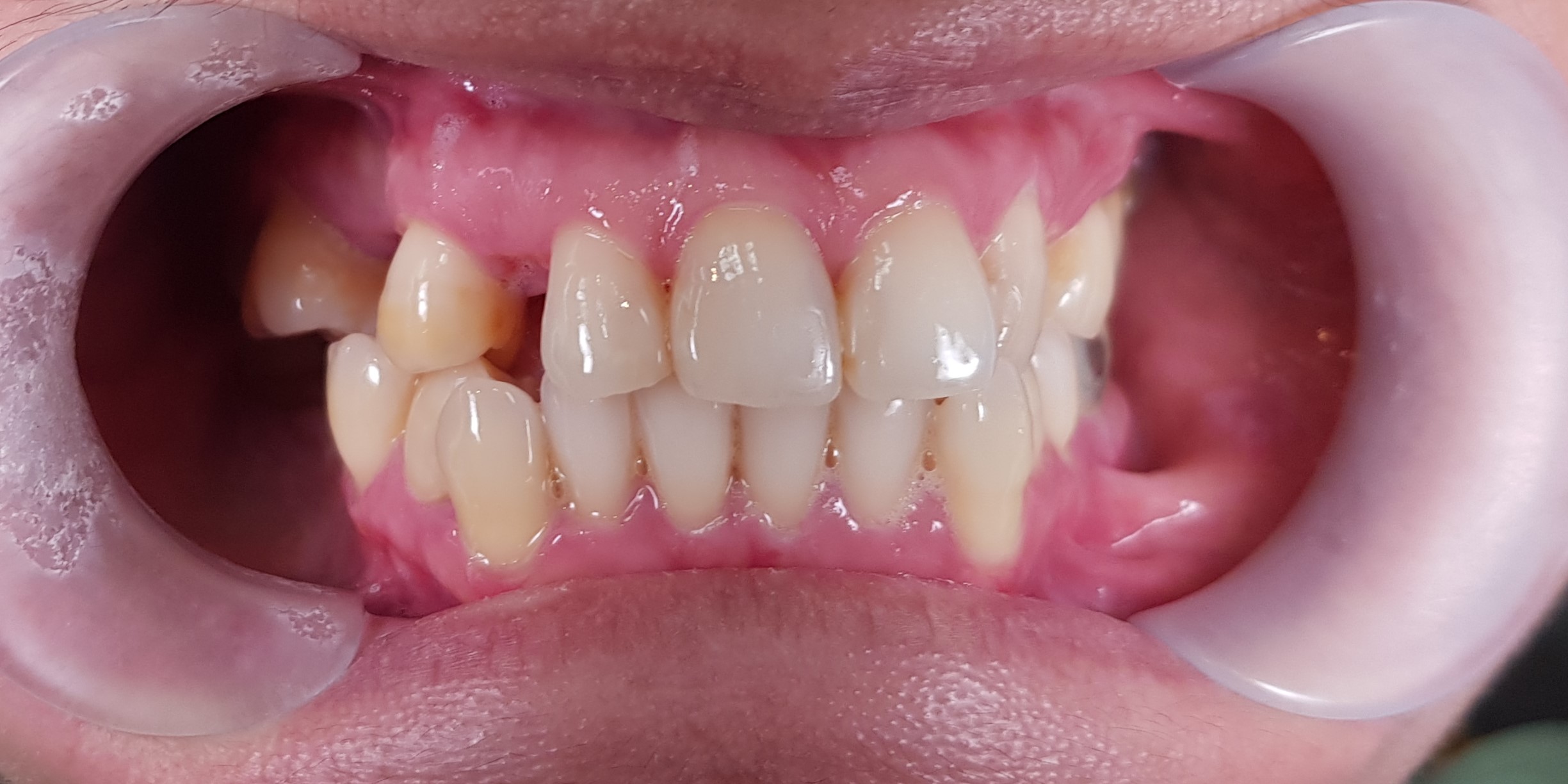
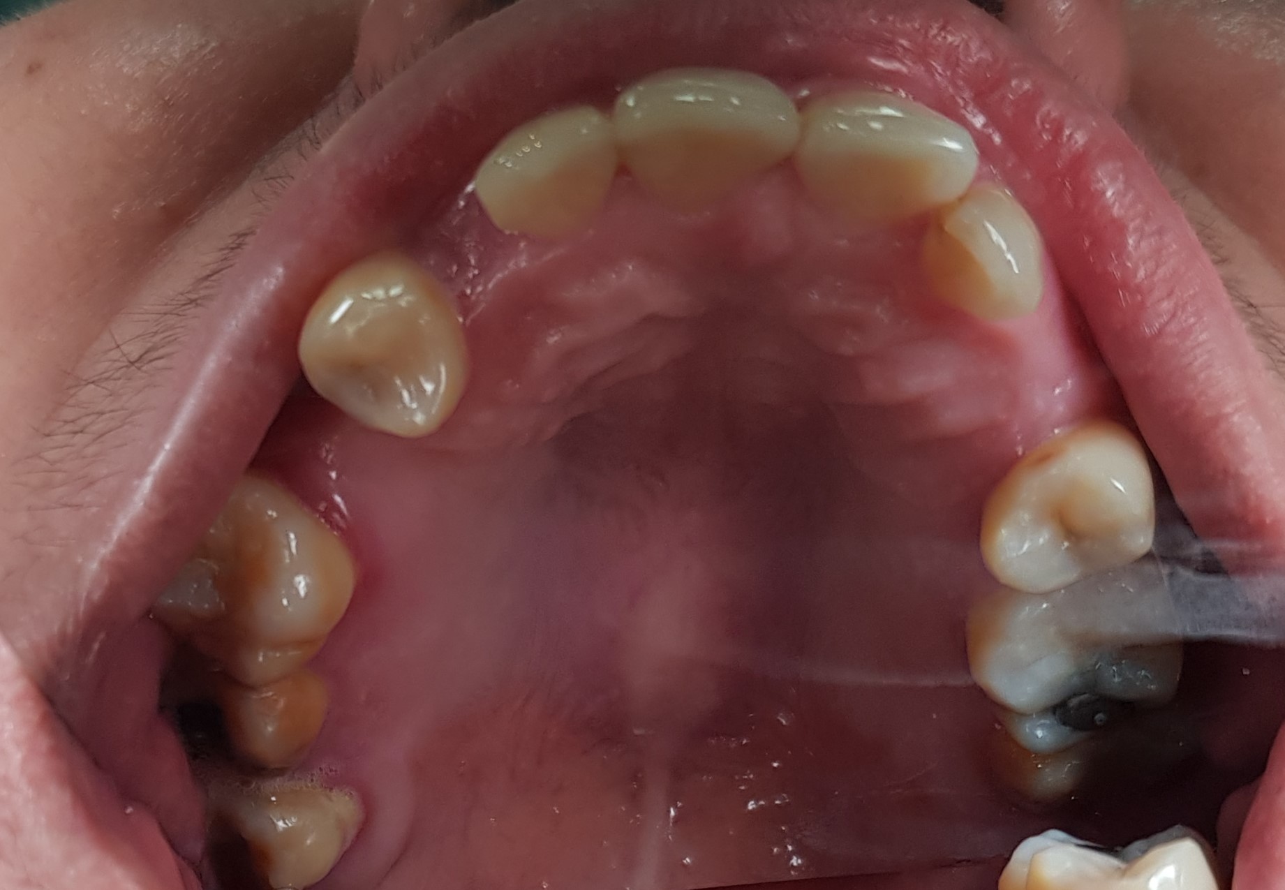
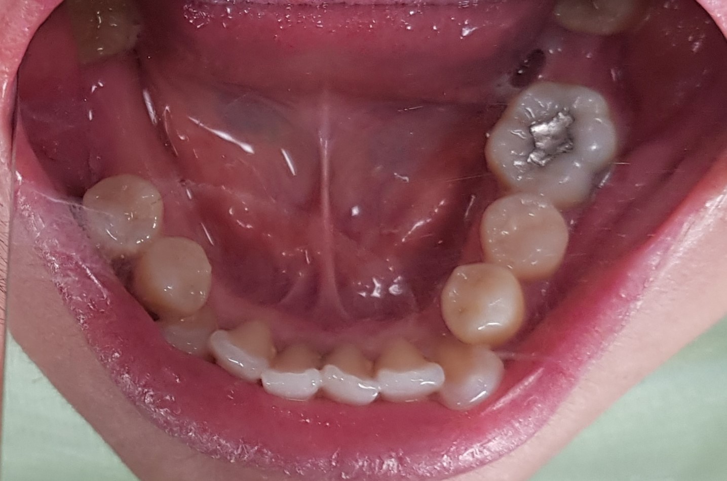
Abstract: Removable partial denture is a definitive prosthesis that has been used in dentistry for decades for the rehabilitation of partially edentulous patients. The visibility of the retentive arm in the metal denture sometimes causes esthetic problems for the patient. Therefore, aesthetic aspects should be considered to ensure patient satisfaction in dental treatment. This case report described oral rehabilitation using a combination of metal frame partial denture and thermo-plastic. A 40-year-old female patient with a history of old removable partial denture came to replace the old denture with a new one that was more aesthetic and showed no wire. The management of the patient included thorough anamnesis, extra and intra oral examinations, anatomic impression, determination of definitive treatment, preparation of rest on the abutment tooth, physiological impression, manufacturing of metal frameworks in the upper and lower jaws, determination of definitive vertical dimension, try-in denture, insertion, and control of combination of a metal frame partial denture with thermoplastic in the upper and lower jaws. The patient was satisfied with her new denture.  In conclusion, the combination of a metal frame partial denture with thermoplastic can be an alternative treatment for patient who wants to replace his/her missing teeth with removable partial denture while still prioritizing aesthetic factors.
Keywords: partial denture; metal frame; thermoplastic; retentive arm; aesthetics
 Â
Abstrak: Gigi tiruan sebagian lepas (GTSL) ialah protesa definitif yang telah digunakan dalam bidang kedokteran gigi sejak beberapa dekade untuk rehabilitasi pasien dengan edentulus sebagian. Visibilitas lengan retentif pada GTSL kerangka logam kadang-kadang menyebabkan masalah estetis untuk pasien. Oleh karena itu aspek estetika harus dipertimbangkan untuk memastikan kepuasan pasien dalam perawatan gigi. Kami melaporkan kasus yang dilakukan tindakan rehabilitasi menggunakan kombinasi gigi tiruan sebagian kerangka logam dengan termoplastik pada seorang pasien perempuan berusia 40 tahun dengan riwayat GTSL lama. Pasien ingin mengganti dengan GTSL baru yang lebih estetis dan tidak tampak kawat. Tatalaksana pada pasien ini meliputi anamnesis yang cermat, pemeriksaan ekstra oral dan intra oral, pencetakan anatomis dan penentuan perawatan definitif, preparasi rest pada gigi abutment, pencetakan fisiologis, pembuatan kerangka logam di rahang atas dan bawah, penentuan dimensi vertikal definitif, percobaan gigi, insersi, serta kontrol kombinasi gigi tiruan sebagian kerangka logam dengan termoplastik pada rahang atas dan bawah. Pasien merasa puas akan kombinasi gigi tiruan kerangka logam dengan termoplastik. Simpulan studi ini ialah kombinasi gigi tiruan sebagian kerangka logam dengan termoplastik dapat menjadi alternatif perawatan untuk mengganti gigi  yang hilang dengan GTSL serta tetap mementingkan faktor estetika.
Kata kunci: gigi tiruan sebagian; kerangka logam; termoplastik; lengan retentif; estetis
Downloads
Additional Files
- PERAWATAN KEHILANGAN GIGI SEBAGIAN MENGGUNAKAN KOMBINASI GIGI TIRUAN KERANGKA LOGAM DENGAN TERMOPLASTIK ( LAPORAN KASUS)
- PERAWATAN KEHILANGAN GIGI SEBAGIAN MENGGUNAKAN KOMBINASI GIGI TIRUAN KERANGKA LOGAM DENGAN TERMOPLASTIK ( LAPORAN KASUS)
- TREATMENT OF PARTIAL EDENTULOUS WITH REMOVABLE PARTIAL DENTURE METAL FRAMEWORK COMBINATED THERMOPLASTIC)-A CASE REPORT
- surat pernyataan
Published
How to Cite
Issue
Section
License
COPYRIGHT
Authors who publish with this journal agree to the following terms:
Authors hold their copyright and grant this journal the privilege of first publication, with the work simultaneously licensed under a Creative Commons Attribution License that permits others to impart the work with an acknowledgment of the work's origin and initial publication by this journal.
Authors can enter into separate or additional contractual arrangements for the non-exclusive distribution of the journal's published version of the work (for example, post it to an institutional repository or publish it in a book), with an acknowledgment of its underlying publication in this journal.
Authors are permitted and encouraged to post their work online (for example, in institutional repositories or on their website) as it can lead to productive exchanges, as well as earlier and greater citation of the published work (See The Effect of Open Access).




